CASE ARCHIVES


BObby

December 2022


Betty

December 2018


88-year-old white female, previously restored with an 8-unit bridge, numbers 5-12, after a traumatic accident in 2012. now living in an assisted living facility, fell and fractured pontics 8 and 9 out of porcelain-fused-to-zirconia bridge.


IMG_0097.jpg
IMG_7355.jpg
IMG_7358.jpg

consulting with the family, in an effort not to have to replace the entire bridge, required creative thinking. prior to an alginate impression of the fractured bridge, linguals of 6, 7, and 10 were prepared for resin-bonded bridge.

DSC_4623.jpg

a pi-ku-plast resin pattern was fabricated using the broken out pontics and seating rests on 7 and 10.

DSC_4627.jpg
DSC_4628.jpg
DSC_4631.jpg
DSC_4632.jpg

resin pattern was invested and pressed in lithium disilicate; then pontics were fitted into the lithium disilicate frame.

IMG_7361.jpg
IMG_7368.jpg

the pontics were cemented into the lithium disilicate frame with rely-x ultimate dual cure cement in the lab in a totally dry environment after the pontics and the frame were sandblasted, primed and bonded.

IMG_7380.jpg
IMG_7384.jpg

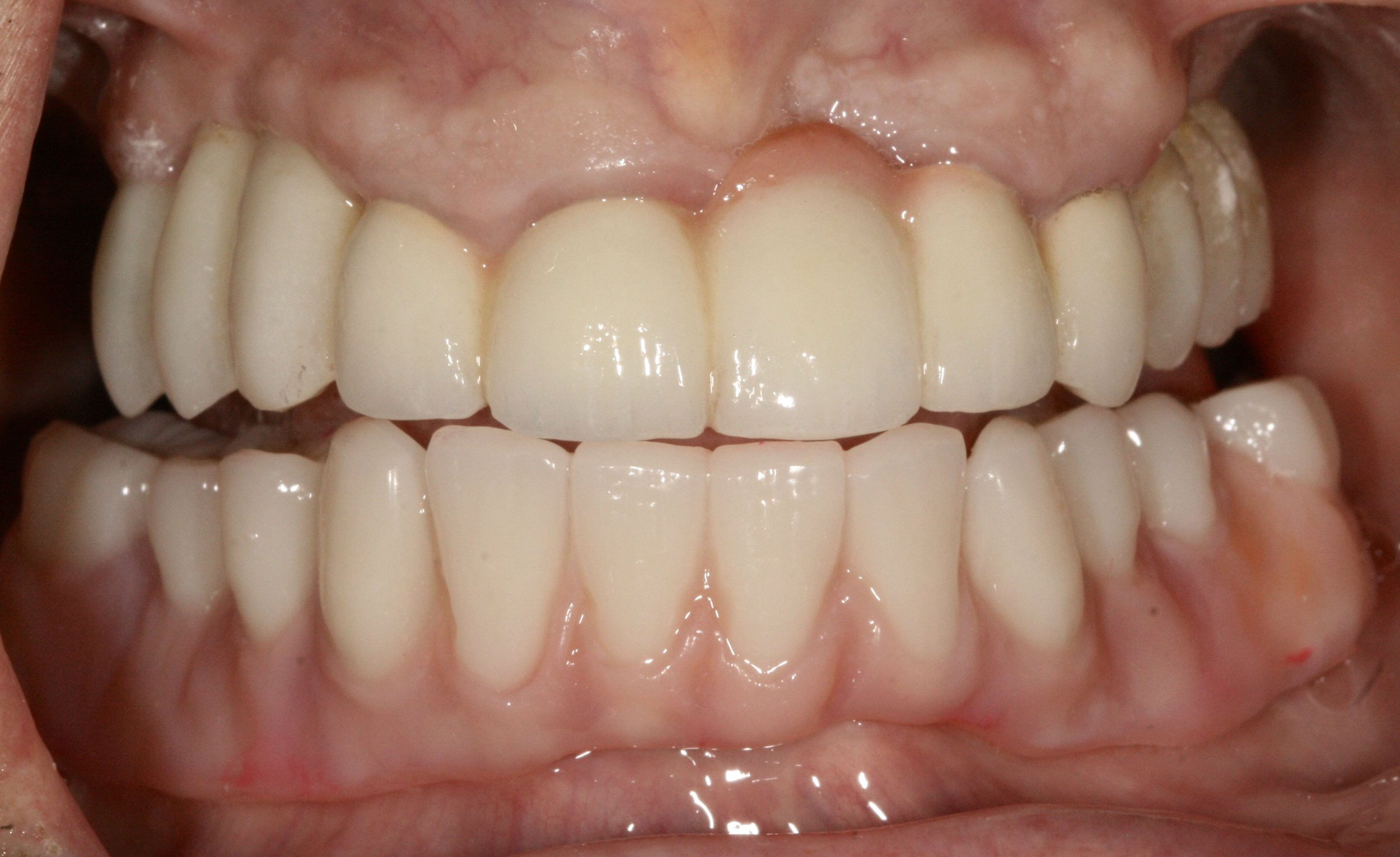
frame and pontics were cemented to the existing bridge with the rely-x ultimate and cured in the mouth. then the seating rests were removed with a diamond burr.

IMG_7386.jpg

this was an economical solution to a very difficult situation for the patient and the family, and by using the existing pontics and converting to a resin-bonded bridge, all parties were happy and grateful.


Tony

NOVEMBER 2018


tony received a MAXILLARY REMOVABLE PARTIAL DENTURE (RPD) WITH equipoise design as his primary dental prosthetic.

the framework of the rpd was fabricated out of chrome cobalt wironium with the help of inverness dental arts. the rpd bases were processed using the ivobase injector.

after acrylic processing, a gold jacket crown was fabricated and bonded to #7, per patient’s request. pictures were taken at immediate seating appointment, and patient was very happy.

this is removable dentistry at the highest level.

DSC_4614.jpg
DSC_4618.jpg
DSC_4615.jpg
DSC_4597.jpg
DSC_4601.jpg
DSC_4600.jpg